抗GPR132抗体anti-GPR132antibody源头厂家科研专用
抗GPR132抗体anti-GPR132antibody源头厂家科研专用
产品价格:¥1750.00(人民币)
  • 规格:完善
  • 发货地:湖北武汉市
  • 品牌:
  • 最小起订量:1
  • 免费会员
    会员级别:试用会员
    认证类型:企业认证
    企业证件:通过认证

    商铺名称:武汉菲恩生物科技有限公司

    联系人:王先生(先生)

    联系手机:

    固定电话:

    企业邮箱:3495998903@qq.com

    联系地址:武汉市江夏区高新大道818号高科医疗器械园B9栋

    邮编:430206

    联系我时,请说是在变革智能网上看到的,谢谢!

    商品详情
      产品参数
      品牌菲恩生物
      适用范围仅供科研使用
      规格100μg
      加工定制
      验证应用ELISA
      IHC
      WB
      宿主
      适应种属人源,小鼠,大鼠
      研究领域信号传导
      可售卖地全国
      材质液体

        名称:抗GPR132抗体(anti-GPR132 antibody)

        货号:FNab03593

        适应种属:人源

        规格:100ug(微克)

        状态:液体

        纯化方法:免疫亲和纯化

        纯度:经DSD-PAGE分析,纯度大于95

        宿主:兔

        亚型:IgG

        存储:用添加了0.02叠氮化钠和50甘油的PBS溶解,PH值7.3,可在-20℃下保存12个月(避免反复冻融)

        免疫原:G protein-coupled receptor 132

        免疫原别称:G protein coupled receptor 132, G2 accumulation protein, G2A, GPR132

        分子量:53kDa

        验证应用:ELISA, IHC, WB

        建议稀释比例:WB: 1:500-1:2000; IHC: 1:20-1:200

        UNIPROT ID:Q9UNW8

        克隆性:多克隆

        背景介绍:可能是一种氧化游离脂肪酸(源于亚油酸和花生四烯酸)受体,例如9-羟基十八碳二烯酸(9-HODE)。激活一种G alpha蛋白,很可能是G alpha(q)。可能参与凋亡。作用于G2/M检查点以延迟有丝分裂。可能作为一种传感器监视氧化状态并介导适当的细胞反应,例如旁分泌信号的分泌及增殖衰减。可能通过质子感应活性介导细胞内肌醇磷酸酯在酸性pH下的积累。

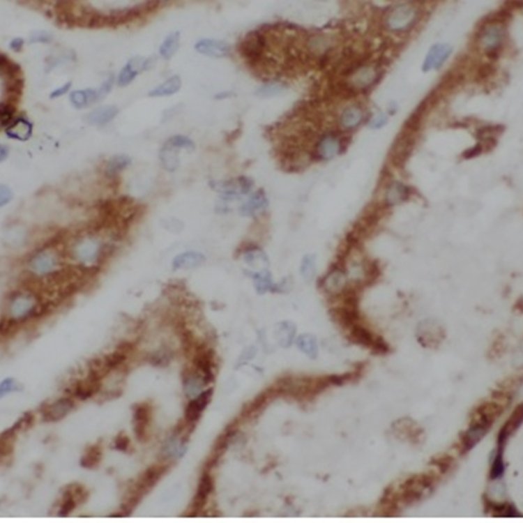
        图像:

        将 FNab03593(GPR132 抗体)以 1:50稀释度,使用石蜡包埋的人肾组织切片进行免疫组织化学实验。

        将 FNab03593(GPR132 抗体)以1:300 稀释度,使用小鼠脾组织进行SDS-PAGE凝胶电泳蛋白印记实验。

    0571-87774297