抗STS抗体(anti-STSantibody)
抗STS抗体(anti-STSantibody)
产品价格:¥1900.00(人民币)
  • 规格:完善
  • 发货地:湖北武汉市
  • 品牌:
  • 最小起订量:1
  • 免费会员
    会员级别:试用会员
    认证类型:企业认证
    企业证件:通过认证

    商铺名称:武汉菲恩生物科技有限公司

    联系人:王先生(先生)

    联系手机:

    固定电话:

    企业邮箱:3495998903@qq.com

    联系地址:武汉市江夏区高新大道818号高科医疗器械园B9栋

    邮编:430206

    联系我时,请说是在变革智能网上看到的,谢谢!

    商品详情
      产品参数
      品牌菲恩生物
      适用范围仅供科研使用
      规格100μg
      加工定制
      验证应用ELISA
      WB
      IHC
      宿主
      适应种属人源,小鼠,大鼠
      研究领域新陈代谢
      可售卖地全国
      材质液体

        名称:抗STS抗体(anti- STS antibody)

        货号:FNab08354

        适应种属:人源,小鼠,大鼠

        规格:100ug(微克)

        状态:液体

        纯化方法:免疫亲和纯化

        纯度:经sds-page分析,纯度大于95

        宿主:兔

        亚型:IgG

        存储:用添加了0.02叠氮化钠和50甘油的pbs溶解,ph值7.3,可在-20℃下保存12个月(避免反复冻融)

        免疫原:steroid sulfatase(microsomal), isozyme S

        免疫原别称:ARSC1

        分子量:63 kDa-65 kDa

        验证应用:ELISA, WB, IHC

        建议稀释比例:WB: 1:500-1:2000; IHC: 1:20-1:200

        克隆性:多克隆

        uniprot id:P08842

        背景介绍:Conversion of sulfated steroid precursors to estrogens during pregnancy。

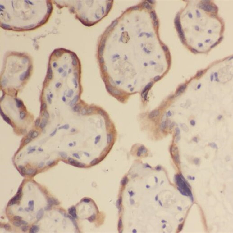
        图像:

        Immunohistochemistry of paraffin-embedded human placenta using FNab08354(STS antibody) at dilution of 1:100。

        MCF7 cells were subjected to SDS PAGE followed by western blot with FNab08354(STS antibody) at dilution of 1:500。

    0571-87774297