商铺名称:武汉菲恩生物科技有限公司
联系人:王先生(先生)
联系手机:
固定电话:
企业邮箱:3495998903@qq.com
联系地址:武汉市江夏区高新大道818号高科医疗器械园B9栋
邮编:430206
联系我时,请说是在变革智能网上看到的,谢谢!
| 产品参数 | |||
|---|---|---|---|
| 品牌 | 菲恩生物 | ||
| 适用范围 | 仅供科研使用 | ||
| 规格 | 100μg | ||
| 加工定制 | 否 | ||
| 验证应用 | ELISA | ||
| WB | |||
| IHC | |||
| 宿主 | 兔 | ||
| 适应种属 | 人源,大鼠,小鼠 | ||
| 研究领域 | 信号传导,免疫学,干细胞 | ||
| 可售卖地 | 全国 | ||
| 材质 | 液体 | ||
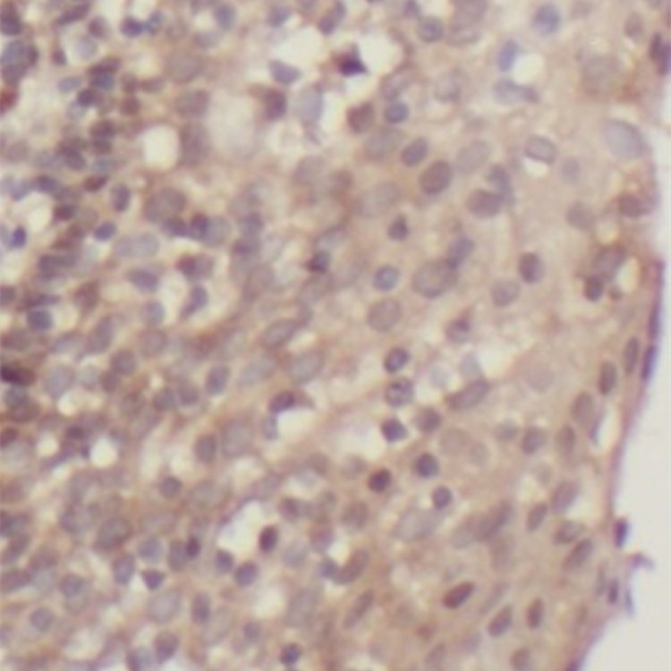
名称:抗CD200抗体(anti- CD200 antibody)
货号:FNab10121
适应种属:人,大鼠,小鼠
规格:100ug(微克)
状态:液体
纯化方法:免疫亲和纯化
纯度:经sds-page分析,纯度大于95
宿主:兔
亚型:IgG
存储:用添加了0.02叠氮化钠和50甘油的pbs溶解,ph值7.3,可在-20℃下保存12个月(避免反复冻融)
免疫原:CD200 molecule
免疫原别称:CD200, CD200 molecule, MOX1, MOX2, MRC, OX 2, OX 2 membrane glycoprotein
分子量:45 kDa
验证应用:ELISA, WB, IHC
建议稀释比例:WB: 1:500 - 1:2000; IHC: 1:50 - 1:500
克隆性:多克隆
uniprot id:P41217
图像:

HEK-293 cells were subjected to SDS PAGE followed by western blot with FNab10121( CD200 Antibody) at dilution of 1:600。